Il neosindaco della città di Mulanay nelle Filippine settentrionali Aristotele Aguirre ha firmato un ordine per mantenere una delle sue promesse elettorali. «Non è...
Parlando domenica con i veterani della Seconda Guerra Mondiale nella città di Volgograd, Dmitrij Medvedev, presidente della Russia dal 2008 al 2012 e attualmente vicepresidente del...
In una lettera del 15 luglio all’Agenzia per la Protezione Ambientale USA, la senatrice Elizabeth Warren e altri cinque senatori e membri del Congresso democratici hanno...
Ai residenti di Pechino che tornano in città da altri luoghi vengono forniti braccialetti elettronici che monitorano la temperatura corporea e tengono traccia dei dati...
Satana, noto personaggio conosciuto anche come «il Diavolo» e «il Demonio» ha indetto una conferenza stampa dopo il ribaltamento da parte della Corte Suprema USA della...
La promozione della cultura LGBT potrebbe essere definitivamente vietata in Russia in base a un disegno di legge presentato lunedì alla Duma di Stato (la camera...
Nel discorso di commemorazione nell’anniversario della presa della Bastiglia Macron ha annunciato le turbolenze all’orizzonte causate dalla crisi energetica. «L’estate, l’inizio dell’autunno sarà molto...
l comunicato congiunto della scorsa settimana rilasciato dopo i colloqui del presidente degli Stati Uniti Joe Biden con il re saudita Salman bin Abdulaziz Al-Saud e...
L’Organizzazione Mondiale della Sanità (OMS) lancia l’allarme su un nuovo focolaio epidemico dopo che due casi della malattia da virus Marburg sono stati segnalati in Ghana....
Nella notte tra sabato e domenica 10 luglio è scoppiato un incendio nelle cappelle della luce del santuario di Lourdes. Sebbene l’incendio sia stato rapidamente domato,...
Renovatio 21 pubblica questo articolo su gentile concessione di Asianews. Le opinioni degli articoli pubblicati non coincidono necessariamente con quelle di Renovatio 21. Dopo il colpo di Stato dell’anno scorso...
Un paio di settimane fa questo sito aveva notato – praticamente, unico al mondo – la strana udienza concessa a Bergoglio a Elon Musk e ad...
La presitigiosa rivista Harpers’ Magazine ha pubblicata nella copertina del suo numero di luglio un’affermazione impegnativa: «il secolo americano è finito». Considerando la fonte –...
Il National Security Archive degli Stati Uniti ha pubblicato un nuovo briefing come parte del suo progetto di documentazione nucleare. Il libro, riporta EIRN, si...
L’ex presidente USA Donald J. Trump ha ammesso pubblicamente di non poter parlare del vaccino anti-COVID in presenza della sua base elettorale. In una manifestazione di...
La prima banca tedesca, Deutsche Bank, sta iniziando a considerare il legno come combustibile per il prossimo inverno. L’economista senior della Deutsche Bank Eric Heymann...
Kiev ha quasi raddoppiato la sua richiesta di aiuti mensili da parte dei suoi alleati occidentali, ha riferito mercoledì il Financial Times, citando un consigliere economico...
Una coppia americana ha intentato una causa contro una clinica per la fertilità per la nascita di una figlia femmina invece del figlio maschio che avevano...
Il cantiere navale Sevmash di Severodvinsk ha consegnato alla Marina russa il sottomarino nucleare Belgorod. Lo rivela l’agenzia governativa di Mosca TASS. «Il sottomarino Belgorod...
Il rapimento a scopo di riscatto è oggi uno dei crimini dominanti in varie città nigeriane: politici, uomini d’affari, religiosi e chiunque abbia soldi, compresi gli...
Renovatio 21 pubblica questo articolo su gentile concessione di Asianews. Le opinioni degli articoli pubblicati non coincidono necessariamente con quelle di Renovatio 21. Roghi senza precedenti per quantità ed estensione...
Una petizione che chiede al presidente ucraino Volodymyr Zelensky di commemorare l’attore pornografico americano Billy Herrington con un monumento a Odessa ha superato 25.000 voti e...
Renovatio 21 traduce questo articolo di William F. Engdahl. Le opinioni degli articoli pubblicati non coincidono necessariamente con quelle di Renovatio 21. Attraverso l’inganno e sfruttando le...
Renovatio 21 pubblica questo articolo su gentile concessione di Asianews. Le opinioni degli articoli pubblicati non coincidono necessariamente con quelle di Renovatio 21. I rigidi lockdown hanno rallentato la crescita...
Die Linke, il Partito della Sinistra tedesca, chiede un «ripensamento fondamentale» della politica sulle droghe del Paese ritenendo utile di mettere a disposizione dei tossicodipendenti...
Pubblichiamo questo articolo del 2011 del grande filosofo cattolico recentemente scomparso Piero Vassallo (1933-2022), che tratta di un libro di Eugenio Scalfari uscito nel 2010, Per...
Lo scorso mercoledì il governo ungherese ha dichiarato lo stato di emergenza per l’inasprimento delle forniture energetiche. Gergely Gulyas, attuale «ministro dell’ufficio del primo ministro»...
Gli Stati Uniti hanno testato con successo un missile ipersonico che è stato sviluppato dall’appaltatore della difesa Lockheed Martin, ha affermato mercoledì l’aeronautica americana. ...
Nel bicentenario della morte del poeta, Renovatio 21 pubblica questo articolo del dottor Paolo Gulisano apparso su Ricognizioni. Di Percy Bysshe Shelley (1792-1822), morto a Viareggio...
Ruslan Onishchenko, ex comandante del famigerato battaglione Tornado ucraino, i cui combattenti sono stati condannati per aver torturato persone nel Donbass, sarebbe stato rilasciato dal carcere...
Secondo un rapporto del Senato francese pubblicato la scorsa settimana, i tifosi del Liverpool sono stati ingiustamente accusati del caos che ha travolto la finale...
In una scioccante ammissione televisiva urbi et orbi, l’ex consigliere per la sicurezza nazionale degli Stati Uniti John Bolton si è preso il merito di aver...
Renovatio 21 traduce questo articolo di Joseph Mercola pubblicato da Lifesitenews. Le opinioni degli articoli pubblicati non coincidono necessariamente con quelle di Renovatio 21. Renovatio 21 aveva già scritto del film...
Lo scorso mercoledì è stato annunciato che Bill Gates e la sua ex moglie hanno donato ben 20 miliardi di dollari alla loro Bill and Melinda...
In questo momento, invece di indebolirsi come dicono media e politici, la Russia si sta rafforzando. Una tesi che viene da una fonte autorevole, un ex...
La seconda città siriana di Aleppo sta tornando alla vita, nonostante le sanzioni occidentali in corso ancora imposte alla Siria che stanno impedendo la ricostruzione del...
L’ ideologo del partito tedesco Die Grünen (i verdi ) e capo dell’Agenzia federale delle reti Klaus Müller in un’intervista alla rivista Focus ha dichiarato che le...
Un medico californiano propone una clinica per aborti galleggiante, situata su una barca ormeggiata nelle acque federali del Golfo del Messico, per condurre feticidi dopo il...
In un’intervista con il canale governativo russo Russia Today (ora bandito in occidente) dello scorso 9 luglio, il portavoce del Comitato Internazionale della Croce Rossa per...
Vari video mostrano il presidente francese accolto da fischi e versi e dito medio collettivo alla parata del 14 luglio, festa nazionale francese. Un filmato...
Il governo estone del primo ministro Kaja Kallas si è dimesso ieri, per ricevere oggi il mandato di formare una nuova coalizione, che è stata approvata...
In osservazioni fatte oggi a Kossuth Radio, il primo ministro ungherese Viktor Orban ha affermato l’evidente realtà dell’Europa coinvolta nella guerra economica diretta dagli inglesi contro...
Renovatio 21 pubblica questo articolo su gentile concessione di Asianews. Le opinioni degli articoli pubblicati non coincidono necessariamente con quelle di Renovatio 21. Padre Mella inizia una tre giorni di...
Una lesbica non «sposata» sarà autorizzata ad adottare un bambino dopo che la Conferenza episcopale degli Stati Uniti (USCCB) ha lasciato che una causa per presunta...
La Cina ha sviluppato e testato, per la prima volta nella storia, una «vela spaziale» che è fatta per ripulire la spazzatura spaziale dall’orbita. Essa...
Un bambino del Regno Unito ha iniziato la pubertà a soli due anni dopo essere stato esposto al gel di testosterone di suo padre, ha riferito...
Un membro del Secret Service statunitense – l’agenzia che si occupa della sicurezza del presidente – è stato rimandato a casa da Gerusalemme a seguito di...
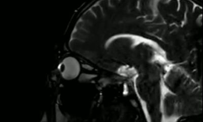
Un americano del Missouri è diventato l’ultima vittima di una rara e mortale infezione cerebrale causata da un microrganismo chiamato Naegleria fowleri, noto anche come «ameba...
Lo scorso martedì gli Stati Uniti hanno ucciso Maher al-Agal, leader dello Stato Islamico – già noto come ISIS – in Siria. Lo ha annunciato Comando...
Un pesce di dimensione abnormi è stato pescato nell’oceano vicino alla città di Arica, in Cile. L’enorme creatura marina, ora vinta dall’esser umano, è stata filmata...
I prezzi sul mercato mondiale delle materie prime hanno iniziato a calare. I di metalli e materie prime alimentari sono più importanti. Esempi forniti da...
Renovatio 21 traduce questo articolo per gentile concessione di Children’s Health Defense. Le opinioni degli articoli pubblicati non coincidono necessariamente con quelle di Renovatio 21. La scorsa settimana abbiamo...
L’esercito da un milione di uomini che il ministro della Difesa ucraino Oleksyj Reznikov ha affermato sta nascendo (un’intervista del 10 luglio al Times di Londra)...
Renovatio 21 pubblica questo articolo su gentile concessione di Asianews. Le opinioni degli articoli pubblicati non coincidono necessariamente con quelle di Renovatio 21. Azione armata contro fascisti e parassiti in...
Quindi, sembra di capire che saremmo al capolinea del governo Draghi. Almeno, del Drago-1. Il primo ministro è salito due volte al Colle (sentite quanta...
È una storia che si era già vista nel vecchio continente all’altezza dei lockdown intermittenti 2020-2021. Si pensava fosse un fenomeno limitato ai giovani britannici,...
Parlando a un forum sponsorizzato dal gruppo dei media per lo sviluppo Devex a Washington, prima della riunione del 15-16 luglio dei ministri delle finanze del...
Diamo notizia del fatto che anche Elmo, fulvo protagonista di popolari show di pupazzi di Sesame Street, si è sottoposto alla terapia genica sperimentale del vaccino...
Il presidente americano Joe Biden è atterrato in Israele mercoledì nell’ambito di un mini tour regionale di quattro giorni, che lo porterà anche nella Cisgiordania occupata...
Il quotidiano in lingua inglese del Partito Comunista Cinese Global Times ha pubblicato quella che ha definito un’esclusiva sulla situazione della geopolitica militare nel Mar della...
Le donne starebbero sopportando il peso maggiore dell’attuale recessione e della crisi del costo della vita. Ce lo rivela il World Economic Forum di Klaus Schwab....
Il generale Mikhail Mizintsev, direttore del quartier generale di coordinamento congiunto per la risposta umanitaria del ministero della Difesa russo, ha messo in guardia nel suo...
Lo scorso martedì il Tour de France è stato interrotto dopo che i manifestanti si sono incollati alla strada e l’hanno bloccata lanciando fumogeni. L’attacco...
Circa 60.000 membri della Guardia Nazionale e soldati della Riserva dell’Esercito USA che si sono rifiutati di conformarsi al mandato del Dipartimento della Difesa per il...
Renovatio 21 pubblica questo articolo su gentile concessione di Asianews. Le opinioni degli articoli pubblicati non coincidono necessariamente con quelle di Renovatio 21. Imposte dalla comunità internazionale per le attività...
Renovatio 21 pubblica questo articolo di Lifesitenews per gentile concessione dell’autore. Le opinioni degli articoli pubblicati non coincidono necessariamente con quelle di Renovatio 21. Renovatio 21...
In un documento di sintesi che indica il «cambiamento climatico» e il «declino della Democrazia» come «crisi globali» congiunte, il World Economic Forum (WEF) ha affermato che...
Una domanda precisa agita il mondo diplomatico e militare americano: la fornitura di armi a Kiev sarà tagliata dopo le elezioni di medio termine negli Stati...
Il dipartimento di gestione della città di Nuova York City ha pubblicato un utile annuncio di servizio pubblico (PSA) per spiegare come rispondere in caso di...
Lo scorso venerdì due leoni marini si sono presentati lungo le sabbie di La Jolla Cove in California, costringendo i bagnanti a fuggire impauriti. La...
Renovatio 21 pubblica una somma di due articoli previamente apparsi di FSSPX.news. Il 29 maggio 2022 il Papa ha annunciato che avrebbe creato ventuno cardinali durante...
Renovatio 21 pubblica questo parere del Comitato Internazionale per l’Etica della Biomedicina (CIEB). Comitato Internazionale per l’Etica della Biomedicina (CIEB) Parere (n. 13) sulla «quarta...
Varie città in tutto il territorio della Germania stanno pianificando di utilizzare arene sportive e sale espositive come «spazi di riscaldamento» quest’inverno per aiutare i cittadini...
Renovatio 21 ha dato notizia di come l’ex ambasciatore britannico Craig Murray abbia citato il sonetto Ozymandias di Percy Bysshe Shelley (17928-1822) per caratterizzare il crollo...
Renovatio 21 pubblica questo articolo su gentile concessione di Asianews. Le opinioni degli articoli pubblicati non coincidono necessariamente con quelle di Renovatio 21. Solo 3 delle 14 statue che compongono...
– La situazione all’11 luglio. – Il generale ucraino Krivonos afferna cge l’Ucraina dovrebbe colpire aeroporti bielorussi. «Distruggerei l’equipaggiamento degli aeroporti bielorussi, perché non sono...
La Cina sta sviluppando una tecnologia che utilizza il riconoscimento facciale e l’Intelligenza Artificiale per determinare la lealtà di un cittadino al Partito Comunista Cinese. Lo...
Il «laptop dall’Inferno» continua eruttare video e informazioni scioccanti. 4chan, un forum image board, noto anche per aver ospitato l’ascesa dei messaggi oracolari di QAnon,...
Il regime di Kiev ha dichiarato di star preparando di lanciare un’offensiva da un milione di soldati con la quale vorrebbe riprendere la regione di Kherson...
In una lettera alla Medical and Healthcare Products Regulatory Agency (MHRA) e ad altri funzionari del governo del Regno Unito, 76 medici spiegano perché la recente decisione...
Presso il sito del World Economic Forum non è più raggiungibile un articolo vergato nell’agosto 2018 intitolato «Premier dello Sri Lanka: Ecco come arricchirò il...
Una rivendita di generi alimentari finanziata dal globalista Bill Gates ha preso fuoco nei Paesi Bassi. Non sono ancora note le cause dell’incendio. Le fiamme...
La regione amministrativa speciale cinese di Macao, conosciuta come la più grande città di casinò del mondo, è stata bloccata per la prima volta in oltre...
Renovatio 21 pubblica questo articolo di Réseau Voltaire. Le opinioni degli articoli pubblicati non coincidono necessariamente con quelle di Renovatio 21. Il deputato svizzero ed ex caporedattore della Tribune de...
Renovatio 21 pubblica questo articolo su gentile concessione di Asianews. Le opinioni degli articoli pubblicati non coincidono necessariamente con quelle di Renovatio 21. La situazione si trascina da tempo per...
L’Uruguay ha sospeso i vaccini COVID-19 per i bambini di età inferiore ai 13 anni dopo che la sentenza di un tribunale giudice che ingiunge lo...
L’idea dell’assassinio solitario dietro all’uccisione dell’ex premier giapponese Shinzo Abe non sta convincendo proprio tutti. Qualcuno sta avanzando qualche riserva sulla versione del «lupo solitario»...
In quella che sembra essere almeno una parziale giustificazione delle accuse russe secondo cui le forze del regime di Kiev usano i civili come scudi umani,...
La corsa allo spazio non si è mai conclusa. Anzi: essa si è appena complicata assai, grazie all’inizio dell’astronautica privata stile SpaceX di Elon Musk....
Il presidente dello Sri Lanka Gotabaya Rajapaksa ha annunciato che si sarebbe dimesso nella tarda notte di sabato dopo che migliaia di manifestanti avevano fatto irruzione...
L’ex ambasciatore del Regno Unito Craig Murray ha pubblicato un articolo sul suo sito web il 6 luglio, intitolato «La morte dello Stato imperiale britannico». ...
Il ministro dell’Interno del Land tedesco della Turingia, Georg Maier, vuole ritirare le licenze di armi dai membri di Alternative fuer Deutschland (AfD), un partito politico...
Renovatio 21 traduce questo articolo per gentile concessione di Children’s Health Defense. Le opinioni degli articoli pubblicati non coincidono necessariamente con quelle di Renovatio 21. Ross Wightman, canadese che...
In una scioccante scoperta zoologica l’amarckdromia beagle, scienziati australiani hanno trovato e catalogato un granchio peloso. Taluni granchi hanno la creativa abitudine di trasformare le...
Renovatio 21 pubblica questo articolo su gentile concessione di Asianews. Le opinioni degli articoli pubblicati non coincidono necessariamente con quelle di Renovatio 21. Con le sue posizioni, soprattutto sulla...
Il caos scaturito dal ribaltamento della sentenza Roe v. Wade da parte della Corte Suprema americana – ossia, la fine dell’era dell’aborto considerato diritto con copertura...
Ispirati dall’insurrezione olandese in corso, gli agricoltori di altri Paesi europei si stanno alzando. Il profilo Twitter RadioGenova sta mostrando immagini di lavoratori agricoli in...
Il cancelliere tedesco Olaf Scholz ha affermato che il governo interverrà con aiuti finanziari alle imprese e alle famiglie, ma ha detto che «non possiamo abbassare...
Prosegue il dibattito sui fatti che riguardano Casalgrande Alto di cui è stata data notizia in questi giorni, con lo scontro tra la diocesi e una comunità...
Il Vaticano ha annunciato oggi di aver aderito formalmente all’Accordo di Parigi sul clima, noto per la sua agenda di fondo riguardo l’aborto e il controllo...